治療症例case
症例実績
2017: 176件, 2018: 277件, 2019: 563件, 2020: 698件
2021:736件, 2022:468件, 2023:598件, 2024: 748件, 2025: 551件
当院はマウスピース型矯正装置「インビザライン」を中心に治療を行う矯正治療専門医院です。
当院では矯正治療が難しいとされている 「抜歯をともなう治療」「上顎前突(出っ歯)」「反対咬合(受け口)」についても、マウスピース型矯正装置(インビザライン)やワイヤー・ブラケットを用いた矯正治療を行っております。まずは一度お気軽にご相談ください。
※矯正経験を積んだ歯科医師がすべての治療を一貫して行います。
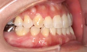
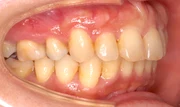
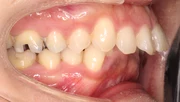
難しいケース1.叢生
上下の歯列のがたつきが大きく、叢生(そうせい)が目立ち、見た目だけでなく歯磨きもしにくいという悩みがある20代女性の患者さま。4本の上下顎両側小臼歯抜歯を行ない、マウスピース型矯正装置(インビザライン)で治療しました。24ヵ月(通院回数16回)の治療期間を経て、叢生は改善され良好な咬合が得られました。
| 治療費 | ¥935,000+TAX |
|---|---|
| 矯正歯科治療のリスク・副作用 | 虫歯、歯肉炎、歯周炎、歯根吸収、歯肉退縮 |
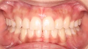
難しいケース2.上顎前突(出っ歯)
上の前歯や上顎が大きく前に出ている噛み合わせ。前に突出している口元や出っ歯の治療を希望の40代女性の患者さまです。上下の前歯の前後差が大きいため抜歯(上顎右側第一小臼歯、上顎左側第二小臼歯)を行い、ワイヤー・ブラケット装置で治療しました。28ヵ月(通院回数35回)の治療期間を経て、噛み合わせと笑ったときの口元が改善しました。
| 治療費 | ¥935,000+TAX |
|---|---|
| 矯正歯科治療のリスク・副作用 | 虫歯、歯肉炎、歯周炎、歯根吸収、歯肉退縮 |
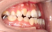
難しいケース3.下顎前突(反対咬合・受け口)
下の前歯や下顎が上の前歯よりも前にでている噛み合わせ。受け口がコンプレックスで、目立ちにくい装置での治療を希望された30代女性の患者さま。28ヵ月(通院回数18回)という治療期間を経て、マウスピース型矯正装置(インビザライン)で抜歯(下顎両側第一小臼歯抜歯2本)にて噛み合わせと口元が改善しました。
| 治療費 | ¥935,000+TAX |
|---|---|
| 矯正歯科治療のリスク・副作用 | 虫歯、歯肉炎、歯周炎、歯根吸収、歯肉退縮 |
治療症例case
下のカテゴリよりお探しの症例のイラストをクリックしてください。各症例ページへリンクします。
叢生(八重歯・乱ぐい歯)
歯が一列に並びきらず、デコボコになっている噛み合わせ。
上顎前突(出っ歯)
上の前歯や上あごが前へ出ている噛み合わせの状態。
反対咬合(受け口)
下の前歯が上の前歯より前に出ている噛み合わせ。
上下顎前突
上下の前歯が前へ出ている噛み合わせ。
過蓋咬合
上の前歯が下の前歯に深くかぶさっている噛み合わせ。
開咬(オープンバイト)
奥歯はしっかりかんでいるのに、上下の前歯の間にすき間が開いている状態。
空隙歯列(すきっ歯)
歯と歯の間にすき間がある噛み合わせ。
交叉咬合(クロスバイト)
上下の奥歯が横にずれている状態。下の奥歯が外側になってしまっている。
鋏状咬合(シザーズバイト)
上下の奥歯のうちの1組または複数組が噛み合わずにすれ違ってしまう状態。
