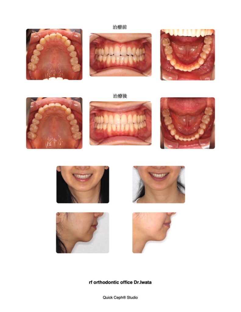
叢生を伴う開咬に対する非抜歯矯正治療
【主訴】前歯で噛めない。
【主な症状】叢生、開咬
【結果】開咬は改善され良好な咬合が得られた。
| 治療方法 | マウスピース型矯正装置 |
| 年齢 | 40代 |
| 治療期間・通院回数 | 8ヶ月・12回 |
| 治療費用 | ¥835,000+tax |
| 抜歯部位 | なし |
【矯正歯科治療のリスク・副作用】う蝕、歯肉炎、歯周炎、歯根吸収、歯肉退縮
福岡天神矯正歯科は歯列矯正専門クリニックです。
矯正治療開始前には、精密検査を実施しております。検査結果をもとに歯並びや顎の状態を確認し、患者さまお一人おひとりの状況に応じた治療計画をご提案いたします。
当院では診断時にレントゲン分析ソフトを使用し、治療前後の歯並びや口元の変化についてコンピューターによるシミュレーション画像をご覧いただくことが可能です。お口元の変化など丁寧にご説明いたします。なお、シミュレーションは治療結果を保証するものではございません。
※当院では、矯正治療を行う全ての患者さまに精密検査を実施しております。治療計画、治療期間および治療結果には個人差がございます。
矯正治療のリスクや副作用について気になる方はこちらをご覧ください。

