矯正治療開始します!〜受付スタッフの矯正治療日記①〜
みなさまこんにちは☀️
福岡天神矯正歯科の受付スタッフです!
この度、インビザライン矯正を開始することになりました!💐
ー矯正治療開始の決断に至るまでー
私は元々歯並びのガタつき、出っ歯が気になっており、このような状態でした😢
【当初の歯並び】

一度は矯正治療を検討していましたが、当時は学生だったこともあり、費用を安く抑えたい、とりあえず見た目が改善されればいいか、と考え『部分矯正』を選択してしまいました。
部分矯正は全体矯正と比較すると安価であったり、治療期間が短い点が魅力とされていますが、上下の前歯6本ずつのみを動かしていく方法だった為、噛み合わせや、出っ歯の改善はできませんでした。
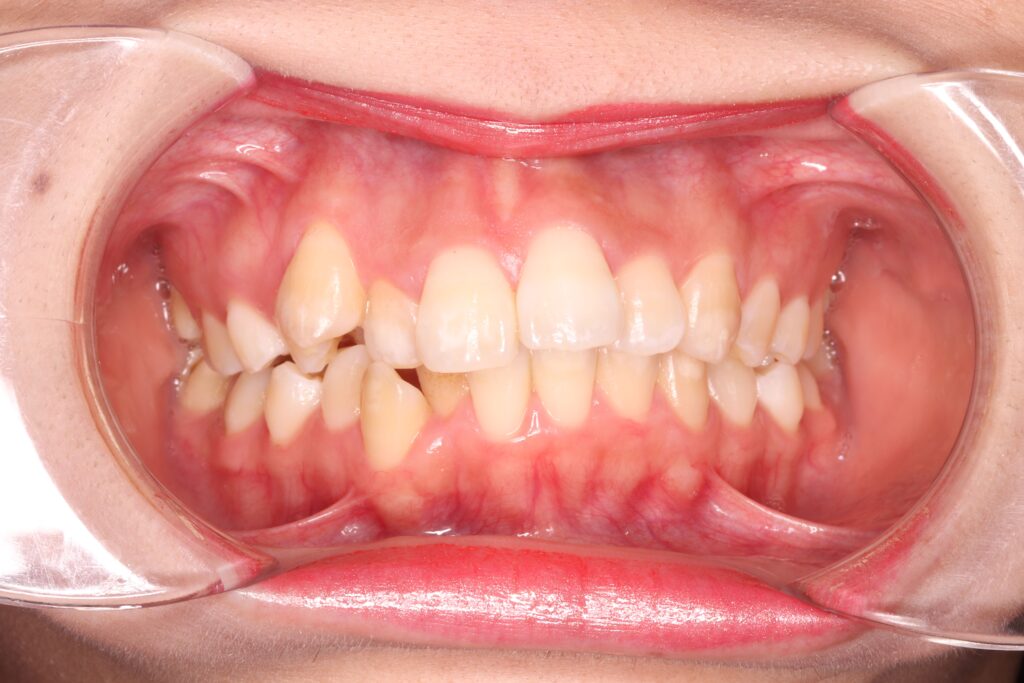
【部分矯正後の現在の歯並び】

こちらは部分矯正後の現在の歯並びの写真です。
部分矯正終了後は、社会人になったらいつか再度矯正治療を受けたい!そう考えながら日々を過ごしていました。当院のスタッフとして勤務していく中で、綺麗な歯並びになっていかれる患者様を見ていると、いつかは、、と思っていた矯正への気持ちが大きくなり、節目である30歳までに綺麗な歯並びになりたい!と思い今回ついに治療開始に踏み切りました!
福岡天神矯正歯科【初診相談Web予約】はこちらをクリック

ーー矯正治療開始までの準備の流れーー
①カウンセリング
まずはカウンセリングを受けます。
自分の歯並びのどんな点が気になっているか、装置の希望など、先生や衛生士さんが親身になって話を聞いてくださいます!
②3Dスキャナーを使った型取り

次に3Dスキャナーを使って現在の歯並びの型取りをしていきます!
口の中に大きな機械を入れてスキャンしていきますが、痛みなどは全くありませんでした😁
この型を元にマウスピースが作成されていきます✨
③検査ー写真撮影ー(口腔内、顔写真)

現在の歯並びを様々な角度から撮影していきます。この他にも、正面、横顔の顔写真も撮影しました!
この写真だけでも噛み合わせの悪さ、出っ歯が分かりやすく確認できますね😢
④検査ーレントゲン撮影ー

レントゲン撮影も、緊張しましたが先生が優しく声を掛けながら撮影してくださるので安心です!😄
ーーまとめーー
ここまで、治療開始前の準備段階をお話してきましたが、カウンセリングから検査まで先生や衛生士さんが丁寧に進めてくださるので、安心して臨むことが出来ました☺️
次回はいよいよ診断編です!✨
診断では、撮影した写真やレントゲンを先生が分析し、細かい治療計画を立ててくださいます!
診断が終わるといよいよ治療が始まっていくので、既にワクワクしています!
これからも私のリアルな矯正治療の情報を、みなさまに分かり易くお伝えしていけたらと思います😄
私の発信する情報が矯正を始めるか迷っている方、矯正中だけど中々頑張れない、、といった方など沢山の方のお役に立てば嬉しいです✨
次回からの発信もぜひ是非ご覧ください🌸
福岡天神矯正歯科【初診相談Web予約】はこちらをクリック👇




