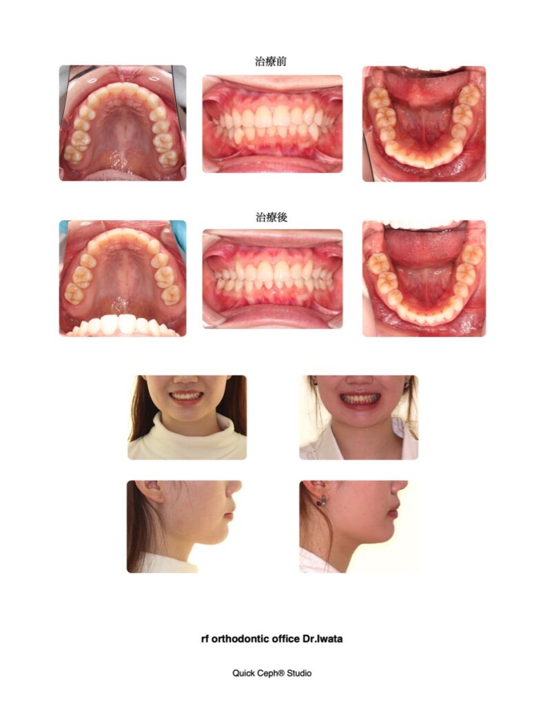
叢生を伴う上下顎前突に対する抜歯矯正治療
【主訴】口元が出ているのが気になる
【主な症状】上下顎前突
【結果】上顎前歯の後退に伴い口元後退し良好な咬合が得られた
| 治療方法 | マウスピース型矯正装置 |
| 年齢 | 10代 |
| 治療期間・通院回数 | 2年6ヶ月・16回 |
| 治療費用 | ¥835,000+tax |
| 抜歯部位 | 上下顎両側第一小臼歯 |
【矯正歯科治療のリスク・副作用】う蝕、歯肉炎、歯周炎、歯根吸収、歯肉退縮
福岡天神矯正歯科は歯列矯正専門クリニックです。
矯正治療開始前に精密検査にて問題点をしっかりと分析することで、
患者様お一人お一人に合った最適な治療プランを提供し、
機能的・審美的に最善な治療ゴールへとご案内致します。
当院の診断時に使用するレントゲン分析ソフトでは、
治療前後の前歯や口元の変化をコンピューターシミュレーションでご覧いただく事が可能です。
治療前後でどのような口元になるのか?
口元が気になっている方は是非一度精密検査をお勧めいたします。
*当院では矯正治療を行う全ての患者様に対して精密検査を行い最適な治療方針を決定致します。治療計画、治療結果及び治療期間に関しましては患者様おひとりおひとり異なります。
矯正治療のリスクや副作用について気になる方はこちらをご覧ください。

